监控画面记录了段燚星主任坐着轮椅被推出手术室去做检查。
精彩视点
深秋的长沙阴雨连绵,寒意袭人,一名医生穿着手术服、坐着轮椅被推出手术室的画面却温暖了湖南省人民医院医务人员和患者的心,画面中的主人公就是该院泌尿三科主任段燚星教授。

▲监控画面显示,段燚星主任坐着轮椅被推出手术室。
事情发生在10月24日上午,8点45分左右,完成晨间查房的段燚星主任接到“手术病人已准备就绪”的电话,快步赶往手术室,准备为一名61岁的男性膀胱癌患者施行手术。途中,他不小心踩空楼梯,左脚传来一阵刺痛。由于患者病情复杂,手术难度大,加上后面还有6台手术要接台,段燚星主任咬牙坚持站上手术台,连同台的同事都没看出他受伤的情况。

▲骨科医生为段主任进行石膏外固定,并嘱咐他制动4~6周。
足足坚持了四个多小时,直到将严重粘连的肠道完全松解、膀胱和尿道完整切除、双侧盆腔淋巴结彻底清扫干净,并且完成肠道吻合和造瘘等关键手术步骤,确保手术效果和患者术中生命体征平稳后,段燚星主任才寻求麻醉师的帮助,“小黄,你扶我一下”。这时大家才发现,他满头大汗、呼吸急促、表情痛苦,左脚已不能动弹,卷起裤腿一看,左下肢肿胀十分严重。

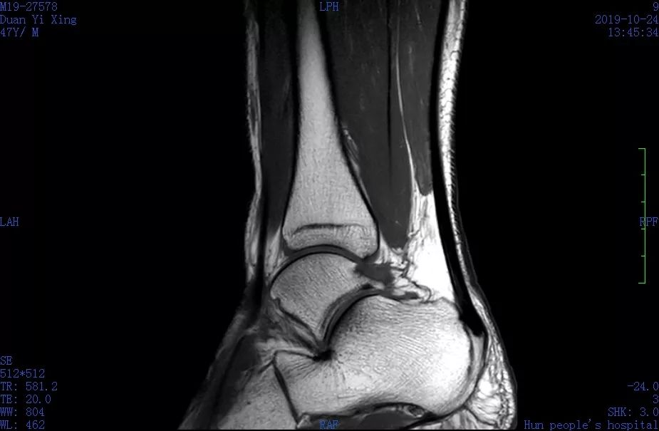
▲磁共振显示韧带撕裂、跟腱损伤。
同事立即找来轮椅,推着他前往骨科和放射科看病、做检查。急诊磁共振检查显示“左踝外侧副韧带撕裂,距腓后韧带损伤,左踝跟腱损伤,左踝关节周围软组织肿胀”。骨科医生为他进行石膏外固定后,叮嘱他要制动4~6周。

▲段主任的敬业和坚强激励了广大医护人员。
得知段燚星主任受伤后坚持为病人做手术,最后坐着轮椅被推出手术室的消息后,同事和同行们无不为他的敬业和坚强所感动,纷纷在朋友圈和微信群为他点赞,大家说得最多的就是“敬业”“榜样”“感动”!

▲“这都是我应该做的,不要拍了”。
“这个患者是我接诊的,我对他的病情最熟悉,另外手术难度非常大,如果临时找人替我上台,确实不放心”,段燚星主任表示,随着医院综合实力不断加强,门诊、住院患者越来越多,他所在的泌尿三科高峰期每月住院达200多人次,手术180多台次,其中不乏肾癌、膀胱癌、前列腺癌根治等复杂的四级手术,医护人员都非常忙碌、辛苦,但大家都有一个共同的愿望,“一切为了患者的生命安全和健康”。

▲段燚星主任带领泌尿三科医护人员始终坚持“一起以患者为中心”。
文图:梁辉 王赛辉 高海华
编辑:梁辉
审核:周瑾容

扫码关注我们
湖南省人民医院健康医线