
大家好,我是讨喜。这周三讨论了人体美中的重要组成部分——形体美,今天讨论容貌美,它不仅包含五官美,还囊括了面部比例、五官调性、对称性、微笑美学等。艺术家们发现,只要按照1.618的比例来设计物品,似乎更容易赢得好感,换作面部亦是,于是发现了面部黄金分割比例,推出计算公式,找出完全符合比例的黄金标准脸,但是,公式是死的,人是活的。死套公式,每个人将变成流水线的塑料美女,没有生气(虽然讨喜的分析里也会绘制各种比例的图,但也只是用以辅助判断,并非在套公式)。美不是数学,落在每一张脸上,没有绝对的标准答案。
每个人身上都有某种独特的气场,这与她的性格、经历、三观、背景有关,你需要清晰地辨识到它的存在,并找到它的助攻,即使这种气场有某无关紧要的缺陷(不是指的硬伤),也有残缺之美。别嫌弃,别破坏,别强按着它掉头,只需要在后期调整时引导气场发光发热。不要破坏造物主的设计,但是,造物主开了小差(有硬伤),你应尽快替它修复。当造物主“捏”出了问题型颌面,那就糟糕了。有句话说:上半张脸决定我们美不美,下半张脸决定我们丑不丑。下半张脸除了问题,多数是颌面问题,比如特别凸,又或是特别凹。今天讲凹面型。

1什么是凹面型
比较准确的测量方式是用面型角、0-Sn值、0-Pos值等美学指标评价面部软组织侧貌。

▲ 中国人的面型角一般在7°±4.5°之间,0-Sn值在4.5~9.5mm、0-Pos值在±2mm讨喜做了个真人示例图,凹面型的0-Sn值和0-Pos值都小于正常值,侧面呈月亮脸。

▲ 凹面型
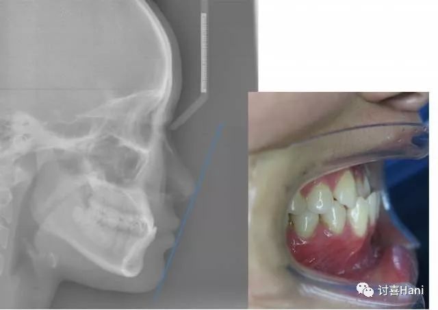
凹面型属于错合畸形的一种,也叫反颌或地包天,与牙齿、颌面问题有关,先天和后天因素均能引起反颌,通常下巴较长,下牙包裹上牙,嘴唇闭合紧张。

▲ 典型的(轻度)反颌明星是蔡徐坤和允浩
凹面型的错合畸形又分为牙齿反颌和骨性反颌,骨性反颌里又分为3种情况:1. 单纯的上颌骨发育不足
2. 单纯下颌骨发育过度
3. 上颌骨发育不足+下颌骨发育过度
牙齿反颌:上下牙的错合度较小,从外观上没有明显的凹面感,甚至看不太出来。

▲来自牙医潘超的案例
单纯的上颌骨发育不足:

▲矫正前VS矫正后(此处没找到案例,尽力惹)
单纯的下颌骨发育过度:

▲矫正前VS矫正后允浩是单纯的下颌骨发育过度,但立体度很好,对颜值影响较小,只是看起来有些倔强与固执,所以他也没做矫正。

▲允浩我家狗子也是下颌发育过度的地包天+乱牙。

▲还是只未婚母狗,老母亲很捉急!
上颌骨发育不足+下颌骨发育过度:侧面月亮脸特别明显,对容貌影响很大,极其容易产生自卑心理。

▲矫正前VS矫正后
反颌是一种发育性疾病,遗传和后天因素均能引起反颌,除遗传外,妊娠时营养不良或患某种疾病也会影响胎儿颌面发育(但不一定是反颌),哺乳姿势不对、食物太过精细、习惯咬上唇或拇指,使上下颌骨发育不同步,会产生后天的反颌。一旦发现反颌,必须立即治疗,做功能性矫正,在青少年时期也能通过传统正畸纠正,否则会持续恶化,错过最佳矫正期,骨性的反颌成年后需要正颌手术解决。
很多人的脸看上去很凹,她们难道不是吗?这要引出两个个新概念:微凹面型和假凹面型。

2假凹面型
微凹面型,即面中多半有扁平感,低鼻梁,面中发育不佳,下面部较膨出,侧面看上去像月亮状。蓝盈莹和梁小冰的半侧面看上去很凹。

▲ 蓝盈莹(演过甄嬛传的浣碧)和梁小冰很像
鞠婧祎也有一段“凹面脸”的时期。

▲ 鞠婧祎
三位的凹与凹面型的颌面没有关系,而是立体度太低,鼻梁低、面中平,牙槽骨较突出或唇部饱满而外翻(至少占一条),呈现出假凹面感,其实都是微凸面型。

▲ 微凸面型
这样的脸,面中干瘪,没有少女的饱满感,也没有轻熟的锐气,像是瘦到脱相的内陷,五官搭配得当很古典范儿,如果体型较小,会让人产生很强的保护欲,对她说话都得轻柔细语,怕吓到她。

▲ 蓝盈莹
这三位都带有清冷、凄楚的气质,因代表作的人设不同,呈现出来的味道略有不同,梁小冰的柔弱、蓝盈莹(浣碧角色)的苦情、鞠婧祎的凄楚。这样的脸必然是寡淡的,即使鞠婧祎突破了美艳,柔光打出来效果惊艳,但面中仍有扁平感,扁平脸无法填充至自然的饱满脸。

▲ 柔光滤镜和电视上的效果梁小冰在这里就“翻了车”,扁平脸填至饱满会变个样子。

▲ 都是梁小冰
没有明艳比寡淡更美,更有优势一说,风格上没有所谓的好与坏,寡淡就寡淡好了(和《内在美》谈场温油恋爱,寡淡清秀如何将优势最大化)。
另一类因某些部位太违和,使侧面容貌的平衡感丧失,也会出现假凹面,比如额骨发育太好、瘪嘴、鼻梁太高、下巴突度太大……曾获得“瘪嘴老太太”称号的杨幂。

▲ 杨幂如果没有瘪嘴,下巴也不用做成“兜财”状,连带鼻型也需要调整。

▲ 现在VS模拟没有瘪嘴感
郑爽的脸也有凹感,但她又需要这份凹感呈现出的倔强感演活楚雨荨。扁平的面中辅以呈现柔弱、怜惜的气质,正是她的特色,是不建议破坏的,除非为了转型,打破了原生气质,风格也将改变。

▲ 纯属人为她往美艳方向转向,扁平的面中也不建议搭配非常高挺的鼻梁,衬得面中更平,她只适合在每个角度上增加锐度,而非高度。

▲ 郑爽原图VS模拟调整后的效果(其实最近的样子跟以前很不像,怎么P感觉没达到最佳效果???)
欧阳娜娜因额头太饱满、鼻梁高度较低、下巴突度明显,衬得面中与面下呈轻微的月亮弧形。

▲ 欧阳娜娜如果她为了迎合高额骨把眉弓和鼻子垫高,虽然也是美的,但会变强势,丢掉了才华少女的亲民感,当下非明智之举,只适合较自然的日系感鼻子。

▲ 欧阳娜娜原图VS讨喜模拟鼻综合效果
3调整顺序很关键
对大家来说,不用像演员担心当下风格是否影响戏路,是否要转型的问题,只需要辨认出你的风格,然后坚定不地移走下去。扁平脸即使凹感,也不建议做很高挺的鼻子和突度较大的下巴,有时候一步错,步步错,杨幂就属于好牌打坏之后步步错的例子。因脸型不够上镜(下颌外翻),却没有先解决硬伤,选择其他方式改善脸型,本来上下颌骨块落差较明显,瘪嘴使凹感更强,为了匹配凹感,鼻型与下巴弧度都得相应调整。

▲ 以前的牙齿是垂直的,现在是向内扣牙齿形态和嘴唇关系密切,牙齿向前倾斜(龅牙)会引起凸嘴,牙齿内扣(杨幂这样)会使嘴唇欠缺丰盈与突度,很干瘪。为什么林允整牙后脸变了,其实也和牙齿突度、牙弓弧度的改变有关,使包裹住它的唇型发生改变,变大、变突、变小或变薄,所以为什么ab整牙有“换脸”的效果(如果大家感兴趣,我可以专门出一期分析)。如果杨幂直接去做下颌角,没有做“一刀切”,也无需垫突度很大的“兜财”下巴去平衡凹面感,鼻型选择上也相应改变,颜也不会时而在线,时而崩掉,先后顺序很重要,不要本末倒置。一旦顺序颠倒,得考虑方方面面,还有些特殊限制,分数上也有相应限制,补救的难度系数翻倍。学会接受造物主的安排,大家抓到的牌都差不多,高手总能把烂牌打成清一色。
你可能需要:讨喜个性化定制咨询设计服务
(课程学习点击文末左下“阅读原文”)

讨喜Hani
美的启示录
专注美与整形
也谈情与烟火
互联网独立变美设计品牌